relatos de casos
Fratura do Tornozelo - 2a Cirurgia
Em 04/07/2009

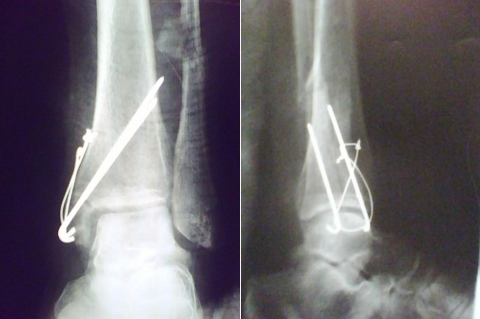
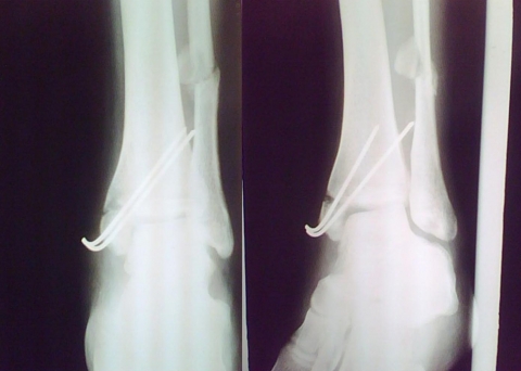
J.W.A.S, 35 anos, motociclista, com história de acidente motociclístico e trauma rotacional indireto de tornozelo esquerdo há 50 dias. Procurou AM em Emergência Traumatológica, tendo-se submetido à cirurgia 2 dias após o trauma (Vide RX Pré-Operatório). Foi orientado à não pisar por 3 meses - SIC.
Procurou o Serviço de Traumatologia do HGF-CE por persistência de dor e edema em tornozelo.
Ao Exame:
Inspeção: Presença de Cicatriz Puntiforme em região Medial maleolar de tornozelo E. Edema(++/++++).
Palpação: Dor à palpação de malélo medial e fibular.
ADM: Prejudicada por dor.
Neurológico: S,R e M normais.
Testes Especiais: Estresse em Valgo e Varo prejudicado por dor.
Paciente foi então submetido à nova cirurgia em nosso Serviço, tendo-se optado por fixação do maléolo medial pelo princípio de banda de tensão ( 2 FK e Fio de Cerclagem) com enxertia de tíbia proximal homolateral. Não realizada osteotomia da fíbula, então consolidada e algo encurtada.
Angulo talocrural pós-cirúrgico dentro dos padrões normais (8-15°), porém com 4mm de discrepância em relação ao lado contra-lateral.
O que você achou da sístese?
Que outras sínteses poderiam ter sido utilizadas?
Sua opinião será devidamente publicada no site. Clique em contato e opine (canto superior direito da tela).
OPINIÃO 1: Frederico, R3 de Ortopedia do IJF escreveu:
Trata-se provavelmente de uma fratura tipo C de Weber e Supinação Rotação externa pela classificação Lauge-Hansenm que corresponde a aproximadamente 70% das fraturas do tornozelo do adulto. Não foi citado no caso a realização intra-operatória dos testes de estresse para sindesmose, de forma que, provavelmente, há lesão da sindesmose pelo traço de fratura. Minha conduta seria: 1) Iniciar síntese pela fíbula para ganho de comprimento e restabelecimento do angulo talo-crural; 2) Síntese do maléolo medial utilizando compressão inter-fragmentária com parafusos corticais de 3.5mm. Pelas imagens imagino que os fios K são de diâmetro 2.5mm e acredito que o risco de exposição dos fios (pelo trauma, repetidas abordagens e fio saliente na pele) é bastante elevado. Como disse, teria optado por síntese com parafusos.
OPINIÃO 2: Dr. Bertran Agra, Chefe da Residência de Ortopedia do HGF escreveu:
Trata-se de uma fratura AO 44-C2,inicialmente deve ser tratada pelo principio da estabilidade absoluta, com osteossintese do maleolo medial e lateral, utilizando 02 parafusos de esponjosa 3,5 mm no medial e placa 1/3 tubular na fibula;Se temos principios, escolhemos nossos proprios metodos; com 50 dias de fratura,estamos tratando uma complicaçao de fratura,o tirante de tensão é uma opção no maleolo medial e a fibula não devem ter fixado pois devia está consolidada
O que você acha do caso? Você concorda com a síntese utilizada? E em relação a conduta tomada pelo residente Frederico, o que você acha?
Responda e tenha sua opinião publicada. Sua contribuição enriquece nossas Residências.
Comentar
Para comentar este relato, criticar ou enviar uma sugestão, clique aqui.


