relatos de casos
Fratura de escápula
Em 04/06/2009

IDENTIFICAÇÃO: JSS, M, 37, natural e procedente de Pedra Branca (CE),casado, católico, agricultor,destro
FONTE DA HISTÓRIA: O próprio paciente
QUEIXA PRINCIPAL: Dor em ombro esquerdo
10/09/08: HDA:
- Acidente motociclístico há 22 dias
- colisão de moto de encontro a um ônibus em movimento
- perda da consciência
- Politraumatismo com TCE
- UTI por 3 dias
- Na enfermaria: dor e limitação dos movimentos do ombro E
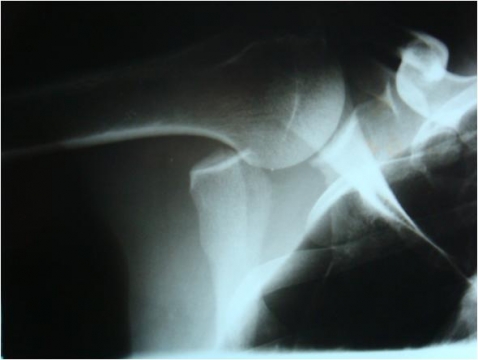
- RX: fratura da escápula
- Tto: Tipóia e Sintomáticos
- Encaminhado ao HGF para melhor conduta
- HPP: Nega cirurgias prévias, HAS, DM, TB e outros agravos
- História Familiar: ndn
- Hábitos: Nega tabagismo, etilismo e uso de drogas ilícitas
- Alergias:ndn
- Medicamentos: analgésicos/anti-inflamatórios de maneira irregular
EXAME FÍSICO
Inspeção Estática:• Ausência de cicatrizes, equimoses, edema, alteração de pele e fâneros
• Cintura escapular desnivelada, rebaixada à esquerda, com perda do contorno normal do ombro E
• Ausência de atrofia muscular
• 2. Inspeção Dinâmica (MA):
Esquerdo | Direito | |
Abdução | 0-90° | N |
Adução | 0-60° | O |
Elevação | 0-140° | R |
Flexão | 0-130° | M |
Extensão | 0-30° | A |
Rotação Externa | 0° | L |
Rotação Interna | 0° |
2. Inspeção Dinâmica (MA):
• Provas Funcionais:
ESQUERDO | DIREITO | |
Mão-Ombro | preservado | Preservado |
Mão-Nádegas | preservado | preservado |
Mão-Costas | Abolido | preservado |
3. Palpação
• Dor à palpação de tubérculo maior, Articulação acrômio-clavicular à esquerda
4. Exame Neurológico
- Sesibilidade: preservada
- Força Muscular (E): difícil de ser avaliada
- Reflexos: biciptal, triciptal e estiloradial: (+), simétricos
5. Testes Especiais
• Impacto: não realizados
• Jobe, Palm up, Patte e Gerber: difíceis de ser avaliados; não testados
CONDUTA: TRATAMENTO CIRÚRGICO: REDUÇÃO CRUENTA + FIXAÇÃO INTERNA COM PARAFUSO INTERFRAGMENTAR + PLACA DE APOIO
1.Paciente em decúbito lateral oblíquo Direito
2. Incisão asciforme com concavidade direcionada pra região infero-lateral da escápula
3. Desinserção da porção posterior do Deltóide
4. Identificação do do foco de fratura Redução cruenta com fixação com parafuso de compressão número 40
5. Montagem de placa de apoio retangular com 4 furos e parafusos corticais de 20mm, 18mm, 16mm e 12mm
Comentar
Para comentar este relato, criticar ou enviar uma sugestão, clique aqui.




